There is something we all do several thousands times per day and rarely even think about: breathing. In and out. Simple. Who would have thought something so basic could actually be so powerful for some women with breast cancer?
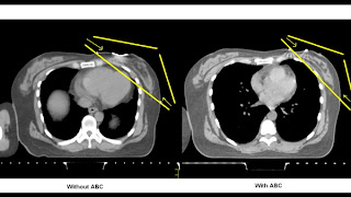
Women with cancer on the left side, who also require radiation, are at higher risk for heart trouble down the road. The proximity of the heart to the breast makes it a target for complications. That’s why Sunnybrook is increasingly using a technique called Active Breathing Control, or ABC. Eligible patients simply hold their breath during treatment with the help of special equipment. Over time and with practice, it becomes easier for many women and gives them a powerful tool to protect their heart health while fighting cancer.
![]() |
| A comparison of two heart images: without ABC (left) and with ABC (right). |
Check out my video to hear from Patricia, a patient who is currently using ABC. She says she was initially nervous, but soon learned you don’t have to be an Olympic swimmer to make this work. With time, she says it’s become a piece of cake. Just like breathing.


